Triệu chứng sâu răng: Dấu hiệu nhận biết và cách phòng ngừa
Sâu răng là một trong những bệnh lý răng miệng phổ biến, xảy ra khi vi khuẩn trong mảng bám tấn công men răng, tạo thành lỗ sâu. Nếu không được điều trị kịp thời, sâu răng có thể gây đau nhức, viêm nhiễm và ảnh hưởng đến sức khỏe răng miệng.
BẢN TIN


1. Triệu chứng sâu răng thường gặp
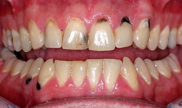
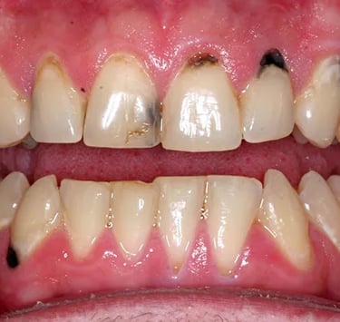
1.1. Xuất hiện các đốm trắng hoặc đen trên răng
Ở giai đoạn đầu, sâu răng có thể biểu hiện bằng những đốm trắng do mất khoáng hoặc các vết đen trên bề mặt răng. Đây là dấu hiệu cảnh báo men răng đang bị phá hủy.
1.2. Đau nhức răng
Cơn đau răng có thể xuất hiện đột ngột hoặc kéo dài, đặc biệt khi ăn uống thực phẩm nóng, lạnh, chua hoặc ngọt. Đau nhức răng là một trong những dấu hiệu quan trọng cảnh báo răng đã bị tổn thương.
1.3. Nhạy cảm với thức ăn nóng, lạnh, chua, ngọt
Sâu răng làm lộ phần ngà răng bên trong, khiến răng trở nên nhạy cảm hơn. Khi ăn các thực phẩm có nhiệt độ hoặc độ axit cao, răng có thể bị ê buốt khó chịu.
1.4. Hôi miệng
Vi khuẩn phát triển trong các lỗ sâu răng có thể tạo ra mùi hôi khó chịu. Nếu bạn bị hôi miệng dù đã vệ sinh răng miệng kỹ, đây có thể là dấu hiệu của sâu răng.
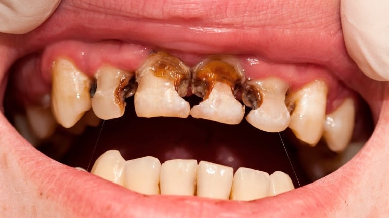
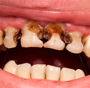
1.5. Lỗ sâu xuất hiện trên bề mặt răng
Khi sâu răng tiến triển nặng, sẽ hình thành lỗ sâu rõ ràng trên bề mặt răng. Lúc này, răng dễ bị giắt thức ăn và gây đau khi nhai.
1.6. Viêm nướu hoặc sưng tấy quanh răng
Nếu sâu răng không được điều trị kịp thời, vi khuẩn có thể lan xuống phần tủy, gây viêm nhiễm, làm nướu sưng đỏ, thậm chí có thể xuất hiện mủ.
2. Nguyên nhân gây sâu răng
Vệ sinh răng miệng kém: Không đánh răng đúng cách khiến mảng bám và vi khuẩn tích tụ trên răng.
Chế độ ăn uống nhiều đường và tinh bột: Vi khuẩn trong miệng chuyển hóa đường thành axit gây mòn men răng.
Thiếu fluoride: Fluoride giúp bảo vệ và tái khoáng men răng, nếu thiếu dễ dẫn đến sâu răng.
Khô miệng: Nước bọt có vai trò trung hòa axit và làm sạch vi khuẩn, nếu khô miệng, nguy cơ sâu răng tăng cao.
3. Cách phòng ngừa sâu răng
3.1. Vệ sinh răng miệng đúng cách
Đánh răng ít nhất 2 lần/ngày với kem đánh răng chứa fluoride.
Dùng chỉ nha khoa để làm sạch kẽ răng.
Súc miệng bằng nước muối hoặc dung dịch sát khuẩn.
3.2. Hạn chế thực phẩm có hại cho răng
Tránh ăn quá nhiều thực phẩm có đường, nước ngọt có gas.
Tăng cường bổ sung thực phẩm giàu canxi như sữa, phô mai, rau xanh.
3.3. Khám răng định kỳ
Nên đi khám nha sĩ 6 tháng/lần để phát hiện và điều trị sớm sâu răng, tránh biến chứng nguy hiểm.
Việc nhận biết triệu chứng sâu răng sớm giúp bạn có biện pháp điều trị kịp thời, bảo vệ sức khỏe răng miệng lâu dài. Nếu có dấu hiệu sâu răng, hãy đến nha khoa uy tín để được tư vấn và điều trị phù hợp!
Nếu bạn đang tìm kiếm địa chỉ khám và chăm sóc răng miệng uy tín, hãy đến ngay nha khoa Hồng Ngọc để được tư vấn miễn phí về công nghệ niềng răng trong suốt Invisdental!




