Răng Bị Chết Tủy Nên Làm Gì?
Răng chết tủy là tình trạng khi tủy răng đã bị tổn thương nghiêm trọng, không còn khả năng nuôi dưỡng răng. Tình trạng này có thể gây ra nhiều hậu quả nghiêm trọng nếu không được điều trị kịp thời. Vậy khi răng bị chết tủy, bạn nên làm gì? Hãy cùng tìm hiểu qua bài viết dưới đây.
BẢN TIN
HV
2 min read


1. Nguyên nhân và triệu chứng của răng chết tủy
Nguyên nhân:
Sâu răng nghiêm trọng.
Chấn thương do va đập.
Viêm nhiễm từ lâu dài.
Triệu chứng:
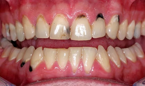
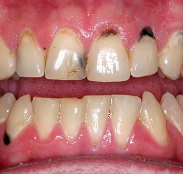
Răng đổi màu (ngà sang vàng hoặc xám).
Đau nhức, đặc biệt khi nhấn vào răng.
Xuất hiện u nhỏ hoặc mụ màu trắng dưới nướu.
2. Răng bị chết tủy nên làm gì?
1. Khám nha khoa ngay lập tức
Khi nghi ngờ răng bị chết tủy, bạn cần đến nha sĩ để được khám và chụp phim X-quang. Việc chẩn đoán sớm giúp nha sĩ đề ra phác đồ điều trị phù hợp.
2. Điều trị tủy răng
Trong hầu hết các trường hợp, nha sĩ sẽ khuyên bạn điều trị tủy răng (điều trị nội nha). Quy trình bao gồm:
Lấy sạch tủy răng bị hoại tử.
Kháng khuẩn và làm sạch ống tủy.
Trám kín ống tủy bằng vật liệu chuyên dụng.
3. Phục hồi răng
Sau khi điều trị tủy, răng thường trở nên yếu đi và có nguy cơ gãy cao. Do đó, bạn nên phục hồi răng bằng một trong các giải pháp sau:
Trám răng: Đối với những răng hỏng nhẹ.
Bọt răng: Đối với răng đã mất nhiều cấu trúc.
Mão răng: Bảo vệ tối đa răng điều trị.
4. Theo dõi và chăm sóc sau điều trị
Sau khi điều trị, hãy tuân thủ theo hướng dẫn của nha sĩ và tái khám định kỳ để đảm bảo răng đã được khôi phục hoàn toàn.
3. Làm thế nào để phòng ngừa răng chết tủy?
Chăm sóc răng miệng hàng ngày.
Tái khám nha khoa định kỳ 6 tháng/lần.
Hạn chế đồ ngọt và thực phẩm gây sâu răng.
Răng bị chết tủy có thể gây ra những hậu quả nghiêm trọng nếu không được điều trị kịp thời. Việc tìm đến nha sĩ sớm và làm theo các bước được khuyên cấn thiết để bảo vệ sức khỏe răng miệng của bạn.




