Niềng răng trong suốt uy tín tại Hà Nội
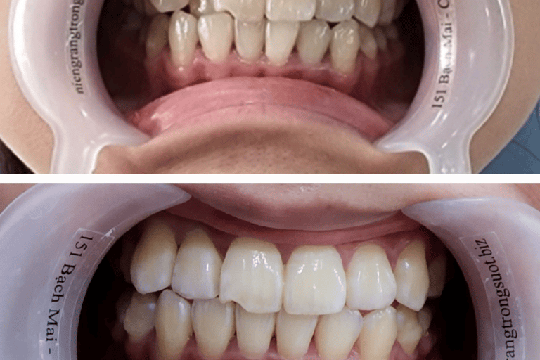
Niềng răng trong suốt Invisdental là công nghệ chỉnh nha tiên tiến, sử dụng khay niềng trong suốt để nắn chỉnh răng mà không cần mắc cài hay dây cung. Đây là phương pháp hiện đại giúp khách hàng có trải nghiệm thoải mái và thẩm mỹ hơn trong suốt quá trình điều trị.
BẢN TIN


1. Ưu điểm của niềng răng trong suốt Invisdental tại nha khoa Hồng Ngọc
Tại nha khoa Hồng Ngọc, niềng răng trong suốt Invisdental mang lại nhiều lợi ích vượt trội:
Thẩm mỹ cao: Khay niềng trong suốt, gần như vô hình, giúp bạn tự tin khi giao tiếp.
Thoải mái, dễ chịu: Không gây tổn thương nướu, không bị cộm hay vướng víu.
Dễ dàng tháo lắp: Thuận tiện trong việc ăn uống và vệ sinh răng miệng.
Hiệu quả cao: Điều chỉnh răng một cách chính xác nhờ công nghệ mô phỏng 3D.
Giảm số lần tái khám: Không cần đến nha khoa quá thường xuyên như niềng răng mắc cài.
2. Quy trình niềng răng trong suốt Invisdental tại nha khoa Hồng Ngọc
Tại nha khoa Hồng Ngọc, quá trình niềng răng trong suốt được thực hiện bài bản theo các bước:
Thăm khám và tư vấn: Bác sĩ kiểm tra tình trạng răng miệng và tư vấn phương án điều trị phù hợp.
Lấy dấu răng và lập kế hoạch điều trị: Sử dụng công nghệ quét 3D để tạo mẫu khay niềng chính xác.
Thiết kế và sản xuất khay niềng: Các bộ khay niềng được sản xuất riêng biệt theo từng giai đoạn dịch chuyển của răng.
Gắn khay niềng và hướng dẫn sử dụng: Bác sĩ hướng dẫn cách đeo, tháo khay và chăm sóc răng miệng.
Theo dõi tiến trình: Kiểm tra định kỳ để đảm bảo răng di chuyển đúng lộ trình.
3. Chi phí niềng răng trong suốt Invisdental tại nha khoa Hồng Ngọc
Chi phí niềng răng trong suốt Invisdental phụ thuộc vào mức độ lệch lạc của răng và thời gian điều trị. Tại nha khoa Hồng Ngọc, giá dịch vụ dao động ngang dịch vụ mắc cài truyền thống.
Bởi đây là công nghệ độc quyền số 1 tại Việt Nam hiện nay, không qua bất kỳ bên trung gian thứ 3 nào nên giá cả cực cạnh tranh, phù hợp với tất cả khách hàng, dù là học sinh sinh viên hay người lao động. Cụ thể giá niềng trong suốt Invisdental từ 30.000.000 - 80.000.000 VNĐ, đi kèm nhiều chính sách hỗ trợ và trả góp linh hoạt.
4. Vì sao nên chọn nha khoa Hồng Ngọc để niềng răng Invisdental?
Đội ngũ bác sĩ chuyên môn cao: Kinh nghiệm dày dặn trong lĩnh vực chỉnh nha.
Trang thiết bị hiện đại: Ứng dụng công nghệ tiên tiến, đảm bảo hiệu quả điều trị tối ưu.
Dịch vụ tận tâm: Chăm sóc khách hàng chu đáo, hỗ trợ xuyên suốt quá trình niềng răng.
Chi phí hợp lý, hỗ trợ trả góp: Giúp khách hàng dễ dàng tiếp cận dịch vụ chất lượng cao.
Nếu bạn đang tìm kiếm giải pháp niềng răng hiệu quả, thẩm mỹ và tiện lợi, hãy đến ngay nha khoa Hồng Ngọc để được tư vấn miễn phí về công nghệ niềng răng trong suốt Invisdental!




