Niềng Răng Có Phải Nhổ Răng Không? – Lý Do Và Các Trường Hợp Cần Biết
Niềng răng là phương pháp điều trị nha khoa phổ biến giúp cải thiện tình trạng răng miệng, giúp bạn có một nụ cười đẹp và khỏe mạnh. Tuy nhiên, một câu hỏi thường xuyên được khách hàng đặt ra là: “Niềng răng có phải nhổ răng không?”. Trong bài viết này, chúng tôi sẽ giải đáp thắc mắc của bạn và giúp bạn hiểu rõ hơn về quy trình niềng răng, những trường hợp cần nhổ răng và lý do tại sao bác sĩ nha khoa có thể yêu cầu nhổ răng trong quá trình niềng.
BẢN TIN


1. Niềng Răng Có Phải Nhổ Răng Không?
Niềng răng có cần phải nhổ răng hay không? – Câu trả lời phụ thuộc vào tình trạng răng miệng và cấu trúc hàm của mỗi người. Trong nhiều trường hợp, niềng răng có thể thực hiện mà không cần nhổ răng. Tuy nhiên, có một số tình huống, bác sĩ sẽ yêu cầu nhổ răng để tạo không gian cho các răng dịch chuyển và đạt được kết quả điều trị tốt nhất.
2. Khi Nào Cần Nhổ Răng Khi Niềng Răng?
Việc nhổ răng có thể được thực hiện trong các trường hợp sau:
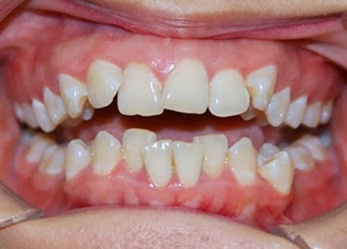
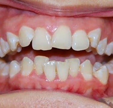
Răng Lệch Lạc Quá Nhiều
Khi răng của bạn bị lệch quá nhiều hoặc không có đủ không gian trên cung hàm để di chuyển về vị trí chuẩn, bác sĩ nha khoa có thể yêu cầu nhổ một hoặc hai chiếc răng để tạo không gian cho các răng còn lại. Việc này giúp đảm bảo quá trình niềng răng diễn ra thuận lợi, không gây ra tình trạng chen chúc hay khó khăn trong việc di chuyển các răng.
Hàm Răng Hẹp Hoặc Có Sự Mất Cân Bằng
Khi hàm răng của bạn hẹp hoặc không đủ không gian để chứa các răng, việc nhổ răng có thể là một giải pháp để mở rộng hàm và tạo không gian cho các răng di chuyển đều đặn hơn. Điều này giúp khớp cắn ổn định và cải thiện chức năng nhai.
Răng Sâu Hoặc Hư Hỏng Không Thể Cứu Chữa
Trong trường hợp bạn có những chiếc răng bị sâu nặng hoặc hư hỏng không thể phục hồi, bác sĩ nha khoa có thể đề xuất nhổ răng đó trước khi tiến hành niềng để tránh các vấn đề về sức khỏe răng miệng trong quá trình điều trị.
3. Những Lợi Ích Khi Nhổ Răng Khi Niềng Răng
Tạo Không Gian Cho Các Răng Di Chuyển: Nhổ răng giúp tạo ra không gian cần thiết để các răng còn lại có thể di chuyển về đúng vị trí, giúp việc niềng răng trở nên hiệu quả hơn và nhanh chóng hơn.
Đảm Bảo Khớp Cắn Đúng: Nhổ răng có thể giúp cải thiện sự cân đối và khớp cắn của hàm, giảm nguy cơ cắn lệch, cắn ngược hoặc các vấn đề liên quan đến khớp cắn sau khi niềng.
Giảm Thiểu Áp Lực Lên Răng: Nếu các răng bị chen chúc quá nhiều, việc nhổ răng có thể giúp giảm áp lực lên các răng khác, giảm thiểu nguy cơ đau đớn và những tác động tiêu cực đến quá trình điều trị.
4. Các Phương Pháp Niềng Răng Không Cần Nhổ Răng
Trong nhiều trường hợp, không cần phải nhổ răng để niềng. Một số phương pháp niềng răng không nhổ răng có thể kể đến như:
Niềng Răng Trong Suốt Invisdental: Phương pháp này sử dụng các khay niềng trong suốt, có thể điều chỉnh răng mà không cần phải nhổ răng. Tuy nhiên, phương pháp này phù hợp với các trường hợp răng không quá lệch lạc hoặc có không gian hàm đủ rộng.
Niềng Răng Mắc Cài: Trong trường hợp các răng chỉ hơi lệch nhẹ và có thể dịch chuyển mà không cần nhổ răng, bác sĩ có thể sử dụng các loại mắc cài cố định để nắn chỉnh răng mà không phải nhổ bất kỳ chiếc răng nào.
Liên hệ ngay với chúng tôi để được tư vấn và nhận lịch thăm khám miễn phí!
📞 Hotline: 0246201818
🌐 Website: https://invisdental.




