Lấy Cao Răng Có Hại Men Răng Không? Chuyên Gia Nha Khoa Giải Đáp
Lấy cao răng (hay còn gọi là cạo vôi răng) là một trong những phương pháp chăm sóc răng miệng phổ biến, giúp loại bỏ mảng bám và ngăn ngừa các bệnh lý răng miệng. Tuy nhiên, nhiều người vẫn thắc mắc: “Lấy cao răng có làm hỏng men răng không?” hoặc “Lấy nhiều lần có bị mòn răng không?”. Hãy cùng Nha khoa Hồng Ngọc tìm hiểu sự thật qua bài viết sau đây.
4/15/20253 min read


1. Cao răng là gì? Vì sao cần phải lấy?
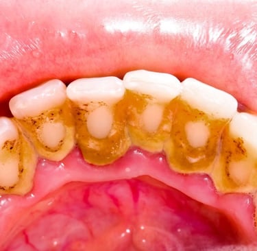
Cao răng là các mảng bám thức ăn, vi khuẩn và khoáng chất từ nước bọt tích tụ lâu ngày trên bề mặt răng, đặc biệt là quanh chân răng. Theo thời gian, các mảng bám này cứng lại thành cao răng (vôi răng), không thể làm sạch bằng bàn chải thông thường.
Nếu không được loại bỏ định kỳ, cao răng có thể gây ra:
Viêm nướu, chảy máu chân răng
Hôi miệng kéo dài
Tụt lợi, tiêu xương ổ răng
Mất răng sớm
2. Lấy cao răng có hại men răng không?
👉 Câu trả lời là: KHÔNG!
Lấy cao răng đúng kỹ thuật và đúng tần suất KHÔNG gây hại men răng.
💡 Vì sao?
Thiết bị lấy cao răng (dụng cụ siêu âm) chỉ tác động vào lớp cao răng bám trên bề mặt răng và dưới nướu – không làm tổn thương men răng.
Men răng là một lớp cứng và chắc, việc lấy cao răng không thể mài mòn được lớp này nếu thao tác đúng kỹ thuật.
Các bác sĩ sẽ điều chỉnh tần suất và lực phù hợp, đảm bảo hiệu quả làm sạch mà vẫn bảo vệ tối đa bề mặt răng.
3. Vì sao nhiều người nghĩ lấy cao răng làm mòn răng?
Hiểu lầm này thường xuất phát từ:
Sau khi lấy cao răng, răng trở nên sáng hơn (do đã sạch mảng bám), nên nhiều người tưởng là bị mòn men.
Một số người có nhiều cao răng lâu năm, sau khi lấy sạch có thể cảm thấy ê nhẹ do phần chân răng bị lộ ra.
Nếu thực hiện tại nơi kém uy tín, bác sĩ không có chuyên môn, sử dụng lực quá mạnh có thể gây ê buốt, làm tổn thương nướu hoặc mẻ men răng nhẹ.
4. Bao lâu nên lấy cao răng một lần?
✅ Tần suất lý tưởng: 4 – 6 tháng/lần
✅ Trường hợp đặc biệt (nhiều cao răng, răng khấp khểnh, hút thuốc, viêm nướu...) nên lấy 3 – 4 tháng/lần
👉 Việc lấy cao răng định kỳ giúp ngăn ngừa các bệnh lý răng miệng, giữ hơi thở thơm mát và giữ nụ cười luôn sáng khỏe.
5. Kết luận
Lấy cao răng hoàn toàn không gây hại men răng, ngược lại còn là bước chăm sóc răng miệng vô cùng cần thiết để duy trì sức khỏe răng lợi. Điều quan trọng là bạn cần:
Thực hiện tại nha khoa uy tín, có bác sĩ tay nghề cao
Lấy cao răng đúng tần suất theo chỉ định
Kết hợp chăm sóc răng miệng đúng cách tại nhà
📞 Liên hệ Nha khoa Hồng Ngọc để được tư vấn và kiểm tra tình trạng cao răng miễn phí.
